Synergia Specjalistów

LECZENIE ZESPOŁOWE

Współczesna stomatologia to sztuka detalu. Łączymy wiedzę ekspertów, aby osiągnąć perfekcję w estetyce uśmiechu i harmonii twarzy.

Precyzyjna Diagnoza

Fundamentem jest analiza cyfrowa. Każdy przypadek to indywidualna mapa drogowa, którą planujemy z chirurgiczną precyzją.

Konsylium Ekspertów

Nie leczymy wycinkowo. Implantolog, ortodonta i protetyk wspólnie projektują Twój uśmiech, ustalając idealną sekwencję.

Partnerski Dialog

To Twój uśmiech i Twoje decyzje. Przedstawiamy wizualizację efektu końcowego, abyś miał pewność na każdym etapie.

Estetyka uśmiechu

Więcej niż proste zęby

Naszym celem jest metamorfoza, która odejmuje lat. Poprawa estetyki uśmiechu to potężne narzędzie psychologiczne – znosi bariery, buduje pewność siebie w życiu zawodowym i prywatnym.

Współczesna technologia pozwala nam projektować uśmiech, który pasuje do rysów twarzy i mimiki, wyglądając przy tym całkowicie naturalnie.

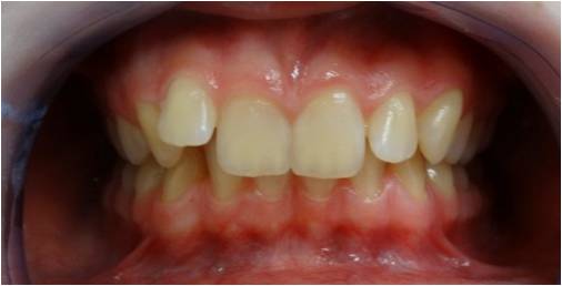
Stan po leczeniu
Stan przed leczeniem
Przed Po

Metamorfoza Pacjenta

Przesuń suwak, aby zobaczyć efekt kompleksowej rekonstrukcji.

Rekonstrukcja Funkcjonalna

Przywracamy nie tylko wygląd, ale i funkcję. Odbudowa prawidłowej wysokości zwarcia to powrót do naturalnych warunków zgryzowych sprzed procesów chorobowych.

Preferencje plików cookies

Inne

Inne pliki cookie to te, które są analizowane i nie zostały jeszcze przypisane do żadnej z kategorii.

Niezbędne

Niezbędne
Niezbędne pliki cookie są absolutnie niezbędne do prawidłowego funkcjonowania strony. Te pliki cookie zapewniają działanie podstawowych funkcji i zabezpieczeń witryny. Anonimowo.

Reklamowe

Reklamowe pliki cookie są stosowane, by wyświetlać użytkownikom odpowiednie reklamy i kampanie marketingowe. Te pliki śledzą użytkowników na stronach i zbierają informacje w celu dostarczania dostosowanych reklam.

Analityczne

Analityczne pliki cookie są stosowane, by zrozumieć, w jaki sposób odwiedzający wchodzą w interakcję ze stroną internetową. Te pliki pomagają zbierać informacje o wskaźnikach dot. liczby odwiedzających, współczynniku odrzuceń, źródle ruchu itp.

Funkcjonalne

Funkcjonalne pliki cookie wspierają niektóre funkcje tj. udostępnianie zawartości strony w mediach społecznościowych, zbieranie informacji zwrotnych i inne funkcjonalności podmiotów trzecich.

Wydajnościowe

Wydajnościowe pliki cookie pomagają zrozumieć i analizować kluczowe wskaźniki wydajności strony, co pomaga zapewnić lepsze wrażenia dla użytkowników.