Wróć do listy
Metamorfoza

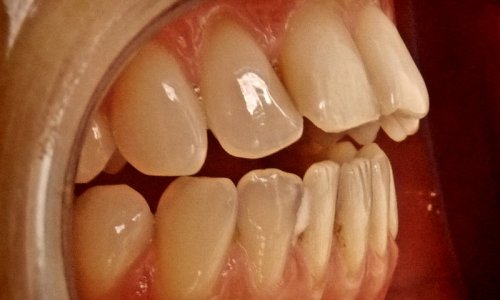
Pacjent #10

Pani Izabela była leczona z powodu nadmiernie wychylonych zębów, które chowały się pod wargą.
Celem leczenia aparatem stałym była poprawa ekspozycji zębów i estetyki twarzy.

1

Stan Przed Leczeniem

Zęby Przed
Wychylenie Zębów
Zęby Schowane
Schowane Zęby
Profil Przed
Profil Twarzy

Stan wyjściowy: Zęby przednie były nadmiernie wychylone i schowane pod wargą, co sprawiało, że były niewidoczne podczas rozmowy.

2

Efekt Końcowy

Ekspozycja Po
Prawidłowa Ekspozycja
Uśmiech Po
Nowy Uśmiech
Profil Po
Atrakcyjny Profil

Rezultat: Skutecznie przechylono zęby, dzięki czemu są widoczne przy uchylonych ustach, a twarz zyskała na atrakcyjności.

Twoje zęby są niewidoczne w uśmiechu?

Umów się na konsultację w Asdent-Gruca. Pomożemy Ci prawidłowo wyeksponować zęby i poprawić estetykę twarzy.

Umów wizytę

Preferencje plików cookies

Inne

Inne pliki cookie to te, które są analizowane i nie zostały jeszcze przypisane do żadnej z kategorii.

Niezbędne

Niezbędne
Niezbędne pliki cookie są absolutnie niezbędne do prawidłowego funkcjonowania strony. Te pliki cookie zapewniają działanie podstawowych funkcji i zabezpieczeń witryny. Anonimowo.

Reklamowe

Reklamowe pliki cookie są stosowane, by wyświetlać użytkownikom odpowiednie reklamy i kampanie marketingowe. Te pliki śledzą użytkowników na stronach i zbierają informacje w celu dostarczania dostosowanych reklam.

Analityczne

Analityczne pliki cookie są stosowane, by zrozumieć, w jaki sposób odwiedzający wchodzą w interakcję ze stroną internetową. Te pliki pomagają zbierać informacje o wskaźnikach dot. liczby odwiedzających, współczynniku odrzuceń, źródle ruchu itp.

Funkcjonalne

Funkcjonalne pliki cookie wspierają niektóre funkcje tj. udostępnianie zawartości strony w mediach społecznościowych, zbieranie informacji zwrotnych i inne funkcjonalności podmiotów trzecich.

Wydajnościowe

Wydajnościowe pliki cookie pomagają zrozumieć i analizować kluczowe wskaźniki wydajności strony, co pomaga zapewnić lepsze wrażenia dla użytkowników.