Wróć do listy
Metamorfoza

Pacjent #11

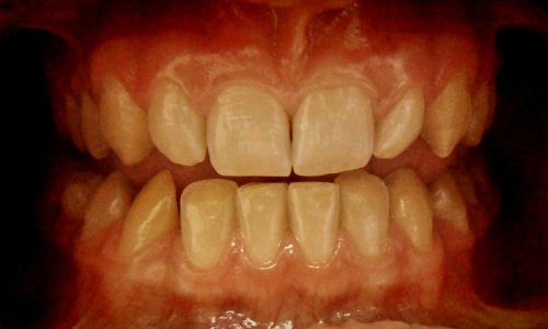
Pacjentka #11 miała zęby przechylone dopodniebiennie, przez co były mało widoczne.
Problem stanowiły również szpary oraz wąski kształt siekaczy.

1

Stan Przed Leczeniem

Przechylone Zęby
Mało Widoczne Zęby
Szpary między zębami
Szpary i Kształt

Stan wyjściowy: Zęby ustawione "do środka" (dopodniebiennie), co zaburzało estetykę uśmiechu. Widoczne szpary między zębami.

2

Efekt Końcowy

Nowy Uśmiech
Współpraca Zespołowa
Korekta kształtu
Estetyka

Rezultat: Ortodoncja poprawiła ustawienie, a stomatolog dr Łukasz Mroczkowski skorygował kształt zębów. Efekt jest trwały i naturalny.

Twoje zęby wymagają korekty kształtu?

W Asdent-Gruca łączymy ortodoncję ze stomatologią estetyczną, aby zapewnić Ci uśmiech, o jakim marzysz.

Umów wizytę