Wróć do listy
Metamorfoza

Pacjent #8

"Pełny profesjonalizm, indywidualne podejście do klienta i bardzo miła obsługa sprawiała, że na każdą wizytę szedłem z uśmiechem."

1

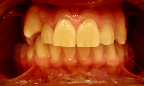
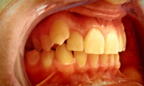
Stan Przed Leczeniem

Uśmiech Przed
Stan Początkowy
Zgryz Przed
Wada Zgryzu
Zbliżenie Przed
Ustawienie Zębów

Stan wyjściowy: Pacjent zgłosił się z problemami estetycznymi i czynnościowymi zgryzu.

2

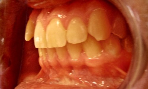
Efekt Końcowy

Uśmiech Po
Nowy Uśmiech
Zgryz Po
Proste Zęby
Zbliżenie Po
Idealny Zgryz

Rezultat: Leczenie przebiegało zgodnie z planem i trwało niecałe 2 lata.

Zależy Ci na takim efekcie?

Umów się na konsultację w gabinecie dr Grucy. Zaplanujemy Twoje leczenie tak, abyś na każdą wizytę szedł z uśmiechem.

Umów wizytę