Wróć do listy
Metamorfoza

Pacjent #9

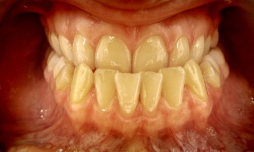
Pacjentka cierpiała na poważną wadę zgryzu – progenię, co stanowiło problem estetyczny i funkcjonalny.
Plan leczenia uwzględniał współpracę z chirurgiem szczękowo-twarzowym i operację ortognatyczną zmniejszenia żuchwy.

1

Stan Przed Leczeniem

Profil Przed
Profil Twarzy
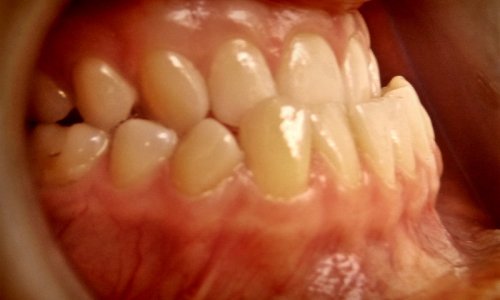
Zgryz Przed
Zgryz
Uśmiech Przed
Uśmiech
Zbliżenie Przed
Zbliżenie

Stan wyjściowy: Widoczna dysproporcja szczęk (progenia) wpływająca negatywnie na profil tkanek miękkich oraz funkcję żucia.

2

Efekt Końcowy

Nowy Profil
Nowy Profil
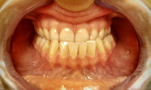
Idealny Zgryz
Idealny Zgryz
Harmonia Uśmiechu
Harmonia
Efekt Operacji
Efekt Operacji

Rezultat: Leczenie zespołowe dało pozytywny efekt zarówno w odniesieniu do zgryzu, jak i do profilu twarzy.

Wymagasz skomplikowanego leczenia?

Umów się na konsultację w Asdent-Gruca. Specjalizujemy się w leczeniu zespołowym i trudnych wadach zgryzu.

Umów wizytę