Wróć do listy
Metamorfoza

Pacjent #1

Szczegółowa analiza przypadku. Porównanie stanu wyjściowego i efektu końcowego.

1

Stan Przed

Twarz Przed
Twarz
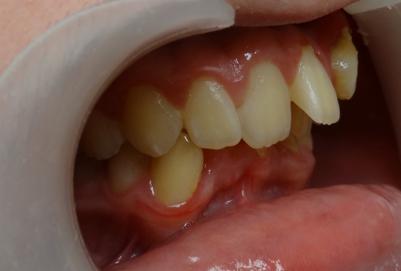
Łuk Przed
Łuk Górny
Zgryz Przed
Zgryz

Widoczne stłoczenia i nieprawidłowe relacje zgryzowe.

2

Efekt Końcowy

Twarz Po
Nowy Uśmiech
Łuk Po
Harmonia
Zgryz Po
Idealny Zgryz

Uzyskano prawidłowe zwarcia i estetyczny łuk zębowy.

Chcesz uzyskać podobny efekt?

Umów konsultację