Wróć do listy
Metamorfoza

Pacjent #13

1

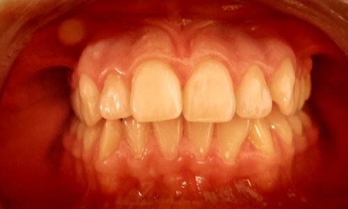
Stan Przed Leczeniem

Zdjęcie Przed 1
Stan Początkowy
Zdjęcie Przed 2
Wada Zgryzu
Zdjęcie Przed 3
Profil Przed

Stan wyjściowy: Widoczne nieprawidłowości zgryzowe wymagające interwencji ortodontycznej.

2

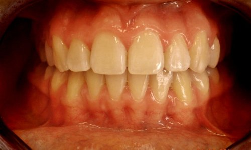
Efekt Końcowy

Zdjęcie Po 1
Nowy Uśmiech
Zdjęcie Po 2
Proste Zęby
Zdjęcie Po 3
Efekt Końcowy

Rezultat: Uzyskano prawidłowe warunki zgryzowe oraz znaczną poprawę estetyki uśmiechu.

Chcesz uzyskać podobny efekt?

Umów się na konsultację w Asdent-Gruca. Pomożemy Ci spełnić marzenie o pięknym uśmiechu.

Umów wizytę