Wróć do listy
Metamorfoza

Pacjent #14

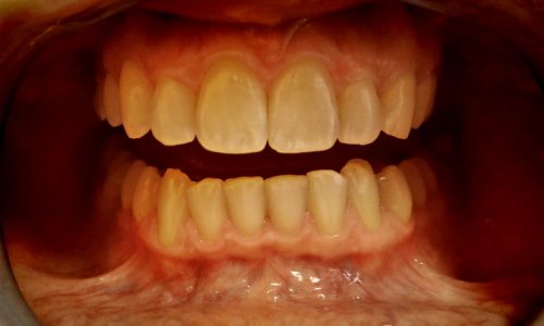
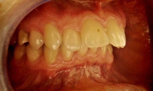
Pacjentka 14 zgłosiła się z powodu wady zgryzu, która wprowadzała ją w kompleksy.
Zęby były mocno wychylone, a profil twarzy zaburzony przez cofnięcie żuchwy.

1

Stan Przed Leczeniem

Profil Przed
Wychylenie / Profil
Zgryz Przed
Wada Zgryzu
Stłoczenie Dolne
Stłoczenia
Uśmiech Przed
Uśmiech

Stan wyjściowy: Wychylone siekacze górne, dolne cofnięte i stłoczone. Trudności w gryzieniu oraz zaburzona estetyka profilu twarzy.

2

Efekt Końcowy

Nowy Profil
Nowy Profil
Idealny Zgryz
Idealny Zgryz
Proste Zęby
Proste Zęby
Nowy Uśmiech
Nowy Uśmiech

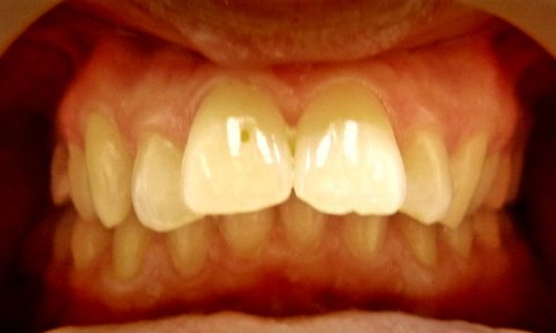
Rezultat: Cofnięto przednie zęby i poprawiono profil twarzy. "Leczenie w Asdencie było jedną z moich najlepszych inwestycji!"

Wada zgryzu to Twoje zmartwienie?

Umów się na konsultację w Asdent-Gruca. Pomożemy Ci odzyskać pewność siebie i zdrowy uśmiech, tak jak Pani Katarzynie.

Umów wizytę