Wróć do listy
Metamorfoza

Pacjent #15

Pacjentka 15 zgłosiła się z problemem dużego stłoczenia zębów oraz uśmiechu dziąsłowego.
Nadmierne napięcie warg wpływało niekorzystnie na estetykę twarzy.

1

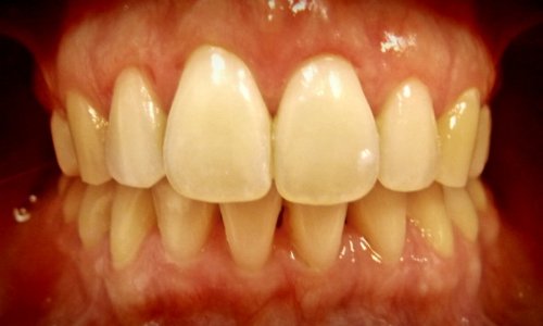
Stan Przed Leczeniem

Stłoczenie Przed
Stłoczenie
Uśmiech Dziąsłowy Przed
Uśmiech Dziąsłowy
Napięcie Warg Przed
Napięcie Warg

Stan wyjściowy: Duże stłoczenie zębów, nadmierne napięcie warg oraz widoczne dziąsła przy uśmiechu.

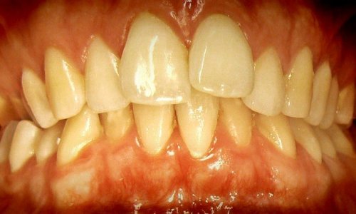
2

Efekt Końcowy

Harmonia Warg Po
Harmonia Warg
Mniej Dziąseł Po
Mniej Dziąseł
Proste Zęby Po
Proste Zęby

Rezultat: Likwidacja stłoczeń oraz intruzja zębów przednich. Zmniejszono widoczność dziąseł i przywrócono harmonię warg.

Twój uśmiech odsłania zbyt dużo dziąseł?

Umów się na konsultację w Asdent-Gruca. Skutecznie leczymy "gummy smile" i przywracamy harmonię twarzy.

Umów wizytę

Preferencje plików cookies

Inne

Inne pliki cookie to te, które są analizowane i nie zostały jeszcze przypisane do żadnej z kategorii.

Niezbędne

Niezbędne
Niezbędne pliki cookie są absolutnie niezbędne do prawidłowego funkcjonowania strony. Te pliki cookie zapewniają działanie podstawowych funkcji i zabezpieczeń witryny. Anonimowo.

Reklamowe

Reklamowe pliki cookie są stosowane, by wyświetlać użytkownikom odpowiednie reklamy i kampanie marketingowe. Te pliki śledzą użytkowników na stronach i zbierają informacje w celu dostarczania dostosowanych reklam.

Analityczne

Analityczne pliki cookie są stosowane, by zrozumieć, w jaki sposób odwiedzający wchodzą w interakcję ze stroną internetową. Te pliki pomagają zbierać informacje o wskaźnikach dot. liczby odwiedzających, współczynniku odrzuceń, źródle ruchu itp.

Funkcjonalne

Funkcjonalne pliki cookie wspierają niektóre funkcje tj. udostępnianie zawartości strony w mediach społecznościowych, zbieranie informacji zwrotnych i inne funkcjonalności podmiotów trzecich.

Wydajnościowe

Wydajnościowe pliki cookie pomagają zrozumieć i analizować kluczowe wskaźniki wydajności strony, co pomaga zapewnić lepsze wrażenia dla użytkowników.