Wróć do listy
Metamorfoza

Pacjent #2

Leczenie ortodontyczne aparatem stałym.
Całkowity czas terapii: 24 miesiące.

1

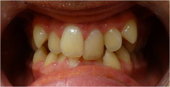
Stan Przed Leczeniem

Łuk Górny Przed
Łuk Górny
Zgryz Przed
Zgryz
Twarz Przed
Twarz / Profil

Stan wyjściowy: Widoczne nieprawidłowości w ustawieniu zębów.

2

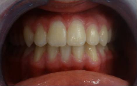
Efekt po 24 miesiącach

Łuk Po
Harmonia
Zgryz Po
Idealny Zgryz
Twarz Po
Nowy Uśmiech

Rezultat: Uzyskano pełną harmonię i estetykę uśmiechu.

Podoba Ci się efekt u Michała?

Umów się na konsultację dla swojego dziecka. Sprawdź, jaki plan leczenia przygotujemy.

Umów wizytę

Preferencje plików cookies

Inne

Inne pliki cookie to te, które są analizowane i nie zostały jeszcze przypisane do żadnej z kategorii.

Niezbędne

Niezbędne
Niezbędne pliki cookie są absolutnie niezbędne do prawidłowego funkcjonowania strony. Te pliki cookie zapewniają działanie podstawowych funkcji i zabezpieczeń witryny. Anonimowo.

Reklamowe

Reklamowe pliki cookie są stosowane, by wyświetlać użytkownikom odpowiednie reklamy i kampanie marketingowe. Te pliki śledzą użytkowników na stronach i zbierają informacje w celu dostarczania dostosowanych reklam.

Analityczne

Analityczne pliki cookie są stosowane, by zrozumieć, w jaki sposób odwiedzający wchodzą w interakcję ze stroną internetową. Te pliki pomagają zbierać informacje o wskaźnikach dot. liczby odwiedzających, współczynniku odrzuceń, źródle ruchu itp.

Funkcjonalne

Funkcjonalne pliki cookie wspierają niektóre funkcje tj. udostępnianie zawartości strony w mediach społecznościowych, zbieranie informacji zwrotnych i inne funkcjonalności podmiotów trzecich.

Wydajnościowe

Wydajnościowe pliki cookie pomagają zrozumieć i analizować kluczowe wskaźniki wydajności strony, co pomaga zapewnić lepsze wrażenia dla użytkowników.