Wróć do listy
Metamorfoza

Pacjent #4

Rozpoczęcie leczenia w wieku 16 lat w Asdent-Gruca.
Dzięki naszym metodom uniknięto usuwania zębów (ekstrakcji) w trakcie leczenia.

1

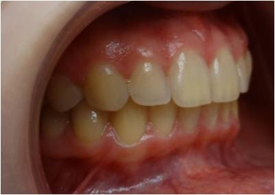
Stan Przed Leczeniem

Stłoczenia Przed
Stłoczenia
Zgryz Przed
Zgryz
Twarz Przed
Twarz / Profil

Stan wyjściowy: Widoczne nieprawidłowości, które udało się skorygować bez ekstrakcji.

2

Efekt Końcowy

Szeroki Łuk
Szeroki Łuk
Pełny Uśmiech
Pełny Uśmiech
Twarz Po
Nowy Uśmiech

Rezultat: Uśmiech Gabrysi jest teraz pełny, szeroki i estetyczny.

Marzysz o szerokim uśmiechu?

Umów się na konsultację w Asdent-Gruca. Stosujemy metody pozwalające chronić Twoje naturalne zęby.

Umów wizytę

Preferencje plików cookies

Inne

Inne pliki cookie to te, które są analizowane i nie zostały jeszcze przypisane do żadnej z kategorii.

Niezbędne

Niezbędne
Niezbędne pliki cookie są absolutnie niezbędne do prawidłowego funkcjonowania strony. Te pliki cookie zapewniają działanie podstawowych funkcji i zabezpieczeń witryny. Anonimowo.

Reklamowe

Reklamowe pliki cookie są stosowane, by wyświetlać użytkownikom odpowiednie reklamy i kampanie marketingowe. Te pliki śledzą użytkowników na stronach i zbierają informacje w celu dostarczania dostosowanych reklam.

Analityczne

Analityczne pliki cookie są stosowane, by zrozumieć, w jaki sposób odwiedzający wchodzą w interakcję ze stroną internetową. Te pliki pomagają zbierać informacje o wskaźnikach dot. liczby odwiedzających, współczynniku odrzuceń, źródle ruchu itp.

Funkcjonalne

Funkcjonalne pliki cookie wspierają niektóre funkcje tj. udostępnianie zawartości strony w mediach społecznościowych, zbieranie informacji zwrotnych i inne funkcjonalności podmiotów trzecich.

Wydajnościowe

Wydajnościowe pliki cookie pomagają zrozumieć i analizować kluczowe wskaźniki wydajności strony, co pomaga zapewnić lepsze wrażenia dla użytkowników.