Wróć do listy
Metamorfoza

Pacjent #5

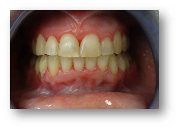
Pacjentka zgłosiła się do praktyki z powodu widocznej asymetrii oraz stłoczenia zębów.

1

Stan Przed Leczeniem

Stłoczenia Przed
Stłoczenia
Asymetria Przed
Asymetria
Twarz Przed
Profil / Twarz

Stan wyjściowy: Widoczne nieprawidłowości w ustawieniu zębów (stłoczenia) oraz zaburzona symetria łuków zębowych.

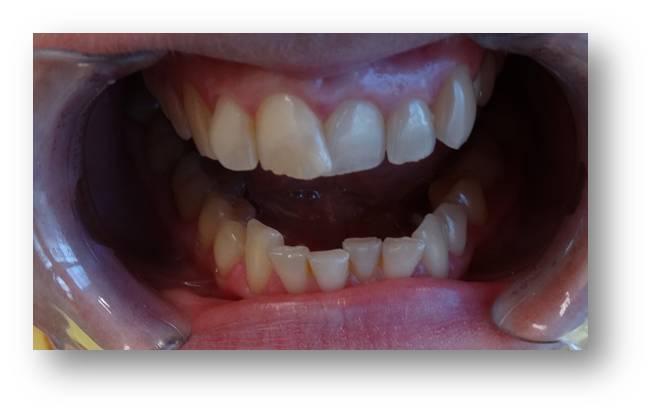
2

Efekt Końcowy

Proste Zęby
Proste Zęby
Symetria Po
Symetria
Twarz Po
Nowy Uśmiech

Rezultat: Pełne przywrócenie symetrii zgryzu oraz rozwiązanie problemu stłoczeń.

Borykasz się z podobnym problemem?

Umów się na konsultację. Pomożemy Ci odzyskać piękny i zdrowy uśmiech, niezależnie od wieku.

Umów wizytę

Preferencje plików cookies

Inne

Inne pliki cookie to te, które są analizowane i nie zostały jeszcze przypisane do żadnej z kategorii.

Niezbędne

Niezbędne
Niezbędne pliki cookie są absolutnie niezbędne do prawidłowego funkcjonowania strony. Te pliki cookie zapewniają działanie podstawowych funkcji i zabezpieczeń witryny. Anonimowo.

Reklamowe

Reklamowe pliki cookie są stosowane, by wyświetlać użytkownikom odpowiednie reklamy i kampanie marketingowe. Te pliki śledzą użytkowników na stronach i zbierają informacje w celu dostarczania dostosowanych reklam.

Analityczne

Analityczne pliki cookie są stosowane, by zrozumieć, w jaki sposób odwiedzający wchodzą w interakcję ze stroną internetową. Te pliki pomagają zbierać informacje o wskaźnikach dot. liczby odwiedzających, współczynniku odrzuceń, źródle ruchu itp.

Funkcjonalne

Funkcjonalne pliki cookie wspierają niektóre funkcje tj. udostępnianie zawartości strony w mediach społecznościowych, zbieranie informacji zwrotnych i inne funkcjonalności podmiotów trzecich.

Wydajnościowe

Wydajnościowe pliki cookie pomagają zrozumieć i analizować kluczowe wskaźniki wydajności strony, co pomaga zapewnić lepsze wrażenia dla użytkowników.