Wróć do listy
Metamorfoza

Pacjent #6

Leczenie w Asdent-Gruca aparatem stałym.
Skuteczna terapia doprowadziła do poprawy zgryzu i estetyki uśmiechu.

1

Stan Przed Leczeniem

Twarz Przed
Twarz / Profil
Zgryz Przed
Zgryz
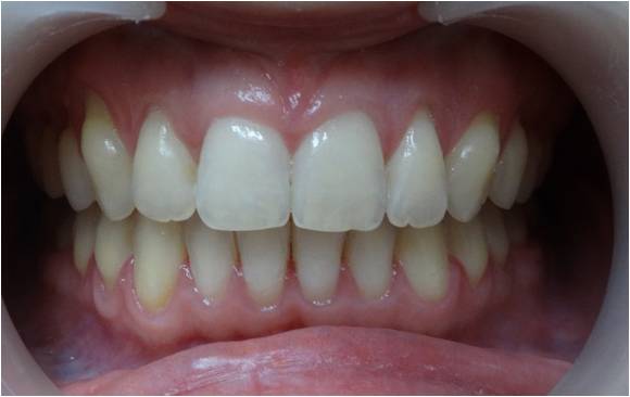
Uśmiech Przed
Uśmiech Przed

Stan wyjściowy: Widoczne nieprawidłowości zgryzowe wpływające na estetykę uśmiechu.

2

Efekt Końcowy

Twarz Po
Nowy Uśmiech
Idealny Zgryz
Idealny Zgryz
Nowy Uśmiech
Nowy Uśmiech

Rezultat: Uzyskano prawidłowe kontakty zębowe oraz harmonijny, estetyczny uśmiech.

Podoba Ci się efekt u Pani Karoliny?

Umów się na konsultację w Asdent-Gruca. Sprawdź, jak możemy odmienić Twój uśmiech.

Umów wizytę

Preferencje plików cookies

Inne

Inne pliki cookie to te, które są analizowane i nie zostały jeszcze przypisane do żadnej z kategorii.

Niezbędne

Niezbędne
Niezbędne pliki cookie są absolutnie niezbędne do prawidłowego funkcjonowania strony. Te pliki cookie zapewniają działanie podstawowych funkcji i zabezpieczeń witryny. Anonimowo.

Reklamowe

Reklamowe pliki cookie są stosowane, by wyświetlać użytkownikom odpowiednie reklamy i kampanie marketingowe. Te pliki śledzą użytkowników na stronach i zbierają informacje w celu dostarczania dostosowanych reklam.

Analityczne

Analityczne pliki cookie są stosowane, by zrozumieć, w jaki sposób odwiedzający wchodzą w interakcję ze stroną internetową. Te pliki pomagają zbierać informacje o wskaźnikach dot. liczby odwiedzających, współczynniku odrzuceń, źródle ruchu itp.

Funkcjonalne

Funkcjonalne pliki cookie wspierają niektóre funkcje tj. udostępnianie zawartości strony w mediach społecznościowych, zbieranie informacji zwrotnych i inne funkcjonalności podmiotów trzecich.

Wydajnościowe

Wydajnościowe pliki cookie pomagają zrozumieć i analizować kluczowe wskaźniki wydajności strony, co pomaga zapewnić lepsze wrażenia dla użytkowników.