Wróć do listy
Metamorfoza

Pacjent 7

Pacjentka nie była zadowolona ze swojego uśmiechu (zbyt wąski, nierówne zęby).
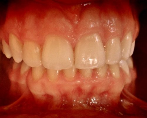
Zastosowano terapię aparatem stałym bez usuwania zębów.

1

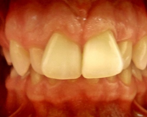
Stan Przed Leczeniem

Wąski Uśmiech Przed
Wąski Uśmiech
Nierówne Zęby Przed
Nierówne Zęby
Zgryz Przed
Zgryz

Stan wyjściowy: Pacjentka skarżyła się na wąski łuk zębowy i stłoczenia, co negatywnie wpływało na estetykę uśmiechu.

2

Efekt Końcowy

Szeroki Uśmiech Po
Szeroki Uśmiech
Naturalny Efekt Po
Naturalny Efekt
Pełna Harmonia Po
Pełna Harmonia

Rezultat: Uzyskano piękny, naturalny i szeroki uśmiech bez konieczności ekstrakcji zębów.

Podoba Ci się efekt u Pani Agnieszki?

Umów się na konsultację w Asdent-Gruca. Pomożemy Ci odzyskać piękny i zdrowy uśmiech, unikając usuwania zębów.

Umów wizytę

Preferencje plików cookies

Inne

Inne pliki cookie to te, które są analizowane i nie zostały jeszcze przypisane do żadnej z kategorii.

Niezbędne

Niezbędne
Niezbędne pliki cookie są absolutnie niezbędne do prawidłowego funkcjonowania strony. Te pliki cookie zapewniają działanie podstawowych funkcji i zabezpieczeń witryny. Anonimowo.

Reklamowe

Reklamowe pliki cookie są stosowane, by wyświetlać użytkownikom odpowiednie reklamy i kampanie marketingowe. Te pliki śledzą użytkowników na stronach i zbierają informacje w celu dostarczania dostosowanych reklam.

Analityczne

Analityczne pliki cookie są stosowane, by zrozumieć, w jaki sposób odwiedzający wchodzą w interakcję ze stroną internetową. Te pliki pomagają zbierać informacje o wskaźnikach dot. liczby odwiedzających, współczynniku odrzuceń, źródle ruchu itp.

Funkcjonalne

Funkcjonalne pliki cookie wspierają niektóre funkcje tj. udostępnianie zawartości strony w mediach społecznościowych, zbieranie informacji zwrotnych i inne funkcjonalności podmiotów trzecich.

Wydajnościowe

Wydajnościowe pliki cookie pomagają zrozumieć i analizować kluczowe wskaźniki wydajności strony, co pomaga zapewnić lepsze wrażenia dla użytkowników.